Children and foetuses exposed to hot and cold environments impact their brain's white matter, responsible for connecting various brain regions and enabling communication, a new research has found.
Researchers said that children are especially vulnerable to extreme environments as their bodies' temperature regulation processes are still immature.
They also found that early exposure could have lasting effects on the microstructure of white matter in the brain. These findings are published in the journal Nature Climate Change.
"We know that the developing brain of foetuses and children is particularly susceptible to environmental exposures, and there is some preliminary evidence suggesting that exposure to cold and heat may affect mental well-being and cognitive performance in children and adolescents," said lead researcher Mònica Guxens, Barcelona Institute for Global Health (ISGlobal), Spain, and the study's corresponding author.
However, there is a lack of evidence with regards to how such exposure can bring about structural changes in the brain, Guxens said.
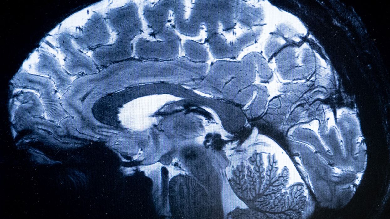
The research team studied the exposure of close to 2,700 preteens to monthly temperatures from birth until they turned eight years old. They used magnetic resonance imaging (MRI) brain scans.
The impacts of the exposure were measured between nine-12 years of age. For this, the researchers assessed the preteens' white matter connectivity by measuring how water flowed and spread in their brains, or 'mean diffusivity'.
In more mature brains, water flows more in one direction than in all directions, showing lower mean diffusivity, the study said. The team found that exposure to colder-than-usual temperatures during pregnancy and the first year of life, and exposure to hotter-than-usual environments from birth until three years of age were linked with more mean diffusivity at preadolescence, pointing to a slower maturation of their white matter.
"The fibres of the white matter are responsible for connecting the different areas of the brain, enabling communication between them. As the white matter develops, this communication becomes faster and more efficient," said first author Laura Granés, a researcher at ISGlobal. "Our study is like a photograph at a particular moment in time and what we see in that image is that participants more exposed to cold and heat show differences in a parameter -- the mean diffusivity -- which is related to a lower level of maturation of the white matter," said Granes.
Previous studies have shown changes in mean diffusivity to be related to poorer cognitive function and mental health problems.






A$AP Rocky received the Fashion Icon AwardGetty Images
Donatella Versace accepted the Positive Change AwardGetty Images
Maitreyi Ramakrishnan and Bach Mai attend the 2025 CFDA AwardsGetty Images






